Your Cart
Loading

Chlorine Dioxide’s Role in Psoriasis Treatment: Efficacy and Immune System Regulation

Chlorine Dioxide for Psoriasis: A Potential Triple-Action Treatment for Immune Balance and Symptom Relief


Psoriasis, also known as plaque psoriasis, is a chronic, recurrent skin disease characterized by red patches and silvery-white scales on the skin. It is a non-contagious condition, and the severity of symptoms can range from mild to severe, depending on the case. Psoriasis can occur on any part of the body, including the skin, nails, and even joints (referred to as psoriatic arthritis).

The exact cause of psoriasis is still not completely understood, but research suggests it is the result of a combination of genetic and environmental factors. Genetics play a significant role in psoriasis, with multiple genes associated with the development of the disease. Environmental triggers include skin injury, certain medications, stress, smoking, alcohol, and infections, among others.

Symptoms of psoriasis include patches of red skin covered with silvery-white scales. These patches can be itchy or painful and can vary in size from a few millimeters to several centimeters. In severe cases, the skin may crack and bleed. The symptoms of psoriasis often fluctuate, with periods of remission and exacerbation.

The diagnosis of psoriasis is mainly based on clinical presentation, and sometimes a skin biopsy is needed to assist in diagnosis. Currently, there is no cure for psoriasis, and treatment is mainly aimed at controlling symptoms and improving the patient’s quality of life. Treatment methods include topical medications (such as corticosteroids, vitamin D analogs, and tar preparations), phototherapy (ultraviolet light exposure), oral medications, and biologics. Biologics are a relatively new treatment method that work by targeting specific parts of the immune system to reduce inflammation and the excessive growth of skin cells.

In addition to medical treatment, patients can also take self-management measures to control symptoms, such as keeping the skin moisturized, avoiding known triggers, maintaining a healthy lifestyle and diet. Psychological support and education are also important components of treatment, as psoriasis can significantly impact a patient’s mental health and quality of life.

Researchers are working hard to find more effective treatments and have gained a deeper understanding of the mechanisms of psoriasis. With scientific progress, new treatment strategies and targeted drugs are being developed to provide better treatment outcomes and improve the quality of life for patients. Although psoriasis is a long-term condition, many patients can achieve good symptom control and lead active lives through comprehensive treatment and effective self-management.

The treatment of autoimmune diseases should follow the mechanism of the immune system’s abnormal attack on its own cells: typically, the immune system recognizes and attacks abnormal cells, leading to an inflammatory response. Without proper regulatory mechanisms, this inflammation can become chronic. Therefore, effective treatment strategies should include two steps: first, eliminating antigens that the immune system has mistakenly identified as abnormal; second, adjusting the signaling pathways to inform the immune system that the foreign substances have been cleared, encouraging it to stop the excessive response.

Chlorine dioxide has potential triple action in this regard; it may help eliminate wrongly identified antigens, regulate signaling pathways, and reduce the immune system’s hyperactivity, thereby alleviating inflammation and potentially restoring balance to the immune system, offering a cure for autoimmune diseases. For autoimmune skin conditions like psoriasis, the therapeutic mechanism of chlorine dioxide is no exception.

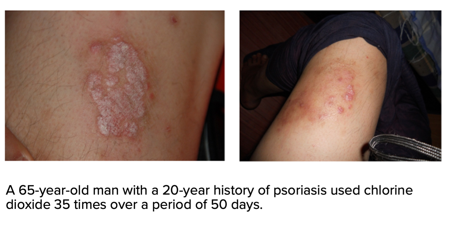
Under my guidance, two psoriasis patients have achieved quite good results using chlorine dioxide.